Host:Rabbit
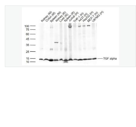
Target Protein:TGF alpha
IR:Immunogen Range:40-89/160
Clonality:Polyclonal
Isotype:IgG
Entrez Gene:7039
Swiss Prot:P01135
Source:KLH conjugated synthetic peptide derived from human TGF-alpha :40-89/160
Purification:affinity purified by Protein A
Storage:0.01M TBS(pH7.4) with 1% BSA, 0.03% Proclin300 and 50% Glycerol. Shipped at 4℃. Store at -20 °C for one year. Avoid repeated freeze/thaw cycles.
Background:This gene encodes a growth factor that is a ligand for the epidermal growth factor receptor, which activates a signaling pathway for cell proliferation, differentiation and development. This protein may act as either a transmembrane-bound ligand or a soluble ligand. This gene has been associated with many types of cancers, and it may also be involved in some cases of cleft lip/palate. Alternatively spliced transcript variants encoding different isoforms have been found for this gene. [provided by RefSeq, Sep 2011].
Size:50ul
Concentration:1mg/ml
Applications:WB(1:500-2000)
ELISA(1:5000-10000)
Cross Reactive Species:Human
Mouse
Rat

本产品仅供科研使用。不能用于人和动物治疗等其它临床诊断使用!
关键字: TGF alpha;TGF;ETGF;TFGA;TFG A;
上海沪震实业有限公司是一家集研发、生产和销售于一体的生命科学实验室产品生物科技企业。主营产品:试剂盒,ELISA试剂盒,抗体,重组蛋白,血清,胎牛血清,细胞,原代细胞 细胞培养试剂,常用生化试剂。