基本信息
产品名称:CD99 Mouse mAb
规格或纯度:ExactAb™, Validated, Carrier Free, 1.0mg/mL
应用:WB, Flow Cytometry, IHC
特异性:CD99
种属反应性:人(Human)
交叉反应:No cross reacted with tag
免疫原:Purified recombinant fragment of human CD99 (AA: 1-185) expressed in E. Coli.
阳性对照:WB: MOLT-4, Jurkat lysates. IHC: Human bladder cancer, ewing sarcoma tissues. Flow Cytometry: Jurkat cells.
偶联:Unconjugated
产品属性
克隆类型:单克隆抗体
克隆号:1B10E12
Format:Whole IgG
亚型:Mouse IgG1
轻链亚型:kappa
SDS-PAGE:150 kDa
纯化方法:Protein G purified
物理外观:Liquid
储存缓冲液:10mM PBS, 0.05% Sodium azide, pH 7.4
防腐剂:0.05% Sodium azide
浓度:1.0mg/mL
储存温度:-20°C储存,避免反复冻融
运输条件:超低温运输
稳定性与储存:Store at 4℃ short term (1-2 weeks). Store at -20℃ long term (36 months). Upon delivery aliquot. Avoid freeze/thaw cycle.
功能和特点
宿主种属:小鼠(Mouse)
种属反应性:人(Human)
克隆号:1B10E12
偶联:Unconjugated
图片

>
Western Blot: CD99 Mouse mAb (Ab006798)
CD99 Mouse mAb (Ab006798) - Western Blot
All lanes: CD99 Mouse mAb (Ab006798) at 1/1000 dilution
Samples: Lysates at 20 µg per lane
Secondary: Goat Anti-Mouse IgG H&L (HRP) (Ab138040) at 1/10000 dilution
Predicted band size: 19 kDa
Observed band size: 28&32 kDa

>
Flow Cytometry: CD99 Mouse mAb (Ab006798)
CD99 Mouse mAb (Ab006798) - Flow Cytometry
Flow cytometric analysis of Jurkat cells using CD99 Mouse mAb (Ab006798) (green) and negative control (red).

>
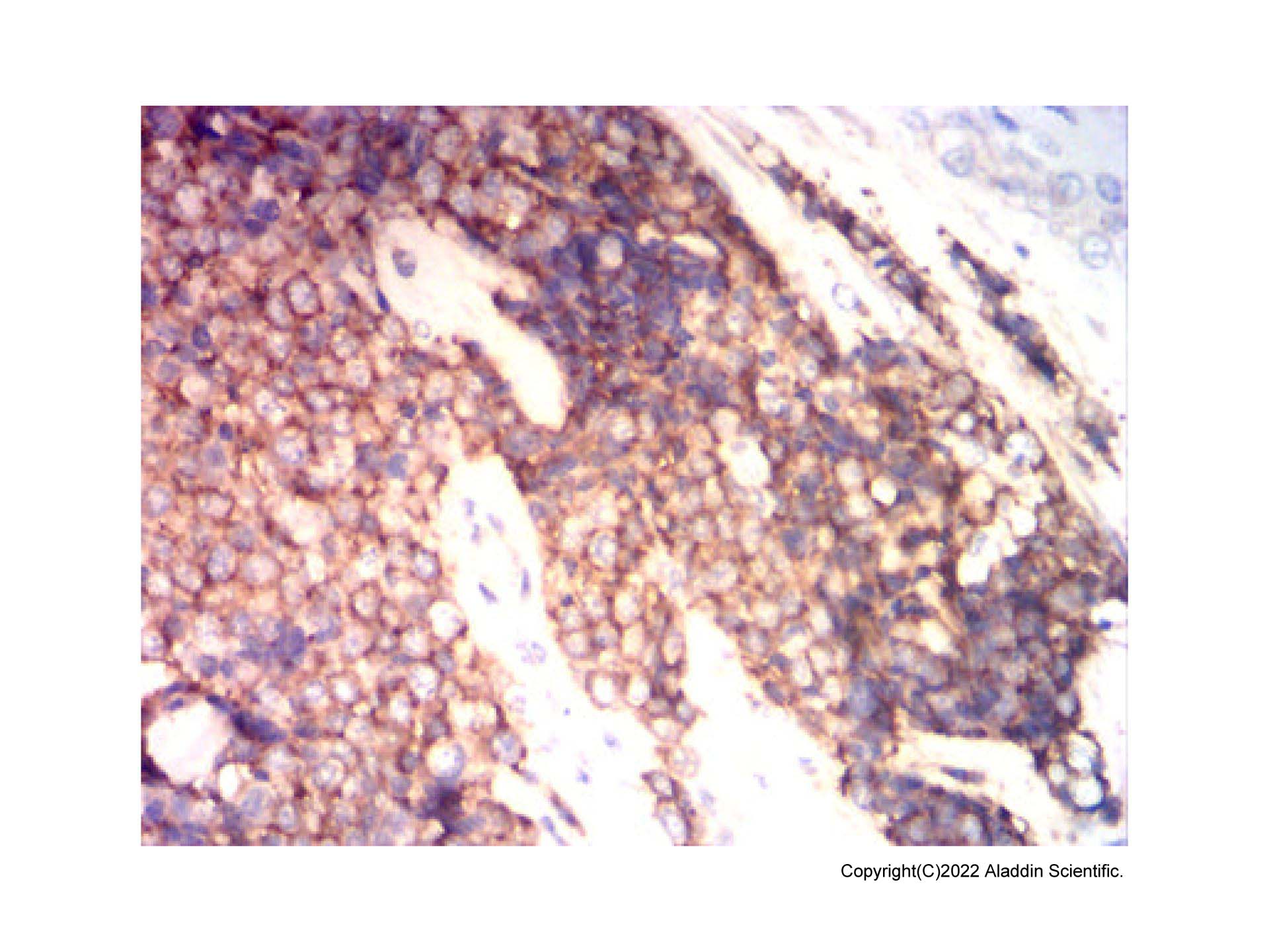
IHC: CD99 Mouse mAb (Ab006798)
CD99 Mouse mAb (Ab006798) - IHC
Immunohistochemical analysis of paraffin-embedded human bladder cancer tissues using CD99 mouse mAb (Ab006798) with DAB staining.

>
IHC: CD99 Mouse mAb (Ab006798)
CD99 Mouse mAb (Ab006798) - IHC
Immunohistochemical analysis of paraffin-embedded human ewing sarcoma tissues using CD99 (Ab006798) mouse mAb with DAB staining.
查看阿拉丁官网此产品相关对应页面:https://www.aladdin-e.com/zh_cn/Ab006798.html



关键字: 抗人CD99单克隆抗体 ; CD99小鼠单抗;12E7 ; E2 antigen
上海阿拉丁生化科技股份有限公司是A股上市公司((股票代码:688179),专注于科研试剂的研发、生产和销售,已陆续建立多个工厂和研发中心。作为领军企业,阿拉丁始终坚持质量第一,连续13年被评为“最受欢迎试剂品牌”。
阿拉丁目前常备库存试剂产品品种超过7万种,SKU总数超过46万,产品线涵盖了化学试剂、生化试剂、药靶配体、蛋白质和抗体等多个领域,是国内少数化学试剂到生物试剂全面发展的国产试剂品牌,产品同步发布在我们国内外电商平台。