基本信息
产品名称:APE1 Mouse mAb
规格或纯度:ExactAb™, Validated, Carrier Free, 0.5 mg/mL
应用:WB, IF/ICC, IHC
特异性:APEX1
种属反应性:人(Human), 小鼠(Mouse), 大鼠(Rat)
免疫原:Recombinant protein of human APEX1 (AA 1-318).
阳性对照:WB: HeLa, LNCAP, K562, NIH/3T3 and C6 cell lysates. IHC: Human stomach tissue. ICC/IF: HeLa cells.
偶联:Unconjugated
产品属性
克隆类型:单克隆抗体
克隆号:1518CT337.123.86.269.232
Format:Whole IgG
亚型:Mouse IgG1
轻链亚型:kappa
SDS-PAGE:150 kDa
纯化方法:Protein G purified
物理外观:Liquid
储存缓冲液:10mM PBS, 0.09% Sodium azide, pH7.4.
防腐剂:0.09% Sodium azide
浓度:0.5 mg/mL
储存温度:-20°C储存,避免反复冻融
运输条件:超低温运输
稳定性与储存:4°C 短期储存(2 周)。-20°C下长期保存(12个月)。收货后建议分装。避免冷冻/解冻循环。
功能和特点
宿主种属:小鼠(Mouse)
种属反应性:人(Human), 小鼠(Mouse), 大鼠(Rat)
克隆号:1518CT337.123.86.269.232
偶联:Unconjugated
图片

>
Western Blot: APE1 Mouse mAb (Ab089159)
APE1 Mouse mAb (Ab089159) - Western Blot
All lanes: APE1 Mouse mAb (Ab089159) at 1/1000 dilution
Samples: Lysates at 20 µg per lane
Secondary: Goat Anti-Mouse IgG H&L (HRP) (Ab138040) at 1/20000 dilution
Predicted band size: 34 kDa
Observed band size: 35 kDa
Exposure time: 45.4 s

>
IF: APE1 Mouse mAb (Ab089159)
APE1 Mouse mAb (Ab089159) - IF
Immunofluorescent analysis of 4% paraformaldehyde-fixed, 0.1% Triton X-100 permeabilized HeLa (human cervical epithelial adenocarcinoma cell line) cells labeling APE1 Mouse mAb (Ab089159) at 1/25 dilution, followed by Dylight® 488-conjugated goat anti-mouse IgG secondary antibody at 1/200 dilution (green). Immunofluorescence image showing nucleus staining on HeLa cell line. Cytoplasmic actin is detected with Dylight® 554 Phalloidin at 1/100 dilution (red).

>
IHC: APE1 Mouse mAb (Ab089159)
APE1 Mouse mAb (Ab089159) - IHC
Immunohistochemical analysis of paraffin-embedded Human stomach section using APE1 Mouse mAb (Ab089159) at 1/50 dilution. A undiluted biotinylated goat polyvalent antibody was used as the secondary, followed by DAB staining.

>
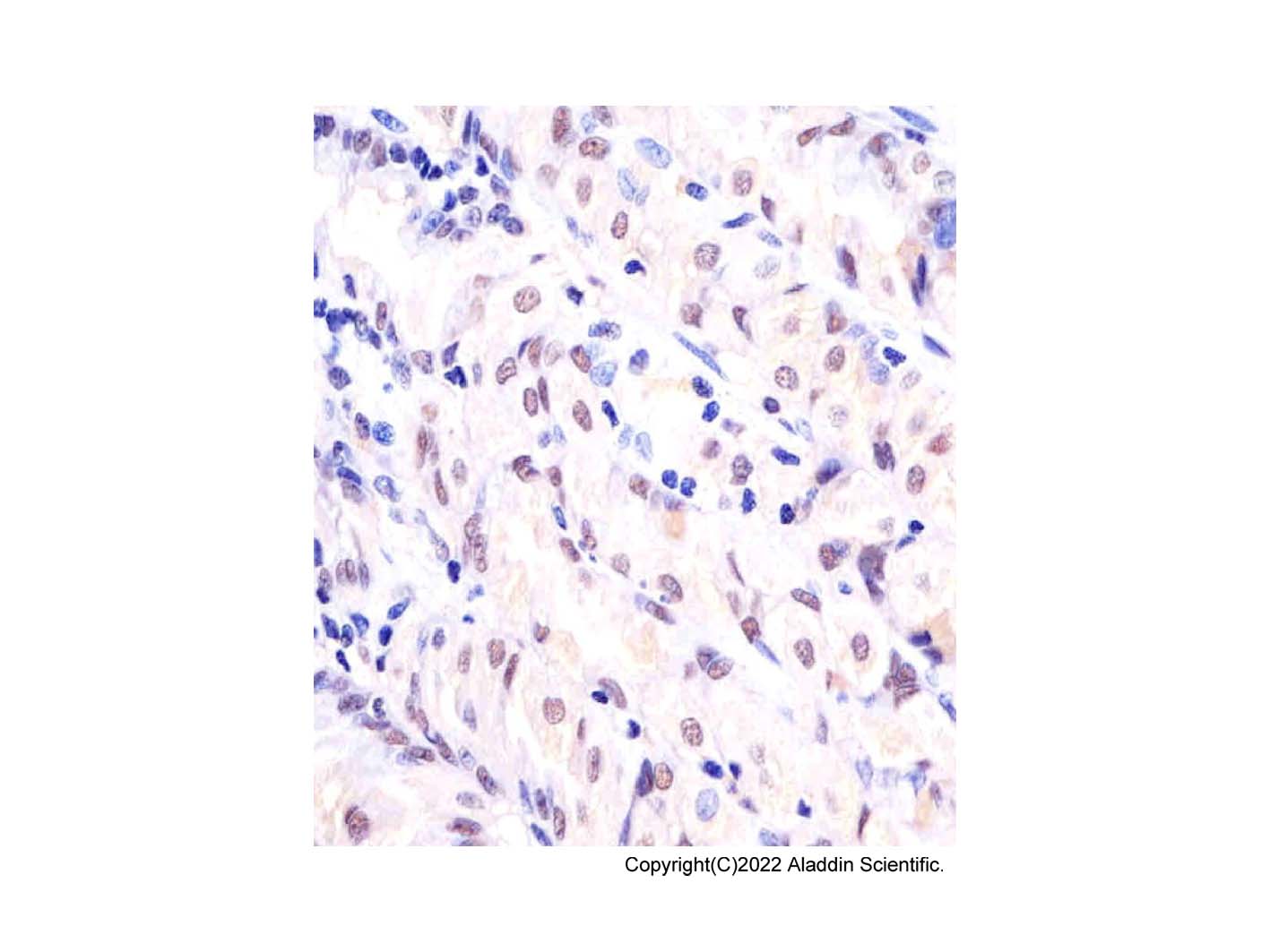
IHC: APE1 Mouse mAb (Ab089159)
APE1 Mouse mAb (Ab089159) - IHC
Immunohistochemical analysis of paraffin-embedded human stomach sections labeling APE1 with APE1 Mouse mAb (Ab089159). Tissue was fixed with formaldehyde and blocked with 3% BSA for 0.5 hour at room temperature; antigen retrieval was by heat mediation with a citrate buffer (pH6). Samples were incubated with primary antibody (1/25) for 1 hours at 37°C. A undiluted biotinylated goat polyvalent antibody was used as the secondary antibody.
查看阿拉丁官网此产品相关对应页面:https://www.aladdin-e.com/zh_cn/Ab089159.html



关键字: 多功能DNA修复酶抗体 ; 脱嘌呤/脱嘧啶核酸内切酶1(APEX1)单克隆抗体 ; APE1小鼠单克隆抗体 ; APE1小鼠单抗
上海阿拉丁生化科技股份有限公司是A股上市公司((股票代码:688179),专注于科研试剂的研发、生产和销售,已陆续建立多个工厂和研发中心。作为领军企业,阿拉丁始终坚持质量第一,连续13年被评为“最受欢迎试剂品牌”。
阿拉丁目前常备库存试剂产品品种超过7万种,SKU总数超过46万,产品线涵盖了化学试剂、生化试剂、药靶配体、蛋白质和抗体等多个领域,是国内少数化学试剂到生物试剂全面发展的国产试剂品牌,产品同步发布在我们国内外电商平台。