基本信息
产品名称:Cathepsin B Mouse mAb
规格或纯度:无载体, ExactAb™, 无叠氮钠, 已验证, 高性能, 见COA
应用:WB
特异性:Cathepsin B
种属反应性:人(Human), 小鼠(Mouse), 大鼠(Rat), 猪(Pig)
免疫原:Recombinant Cathepsin B expresed in E.coli (AA 129-333)
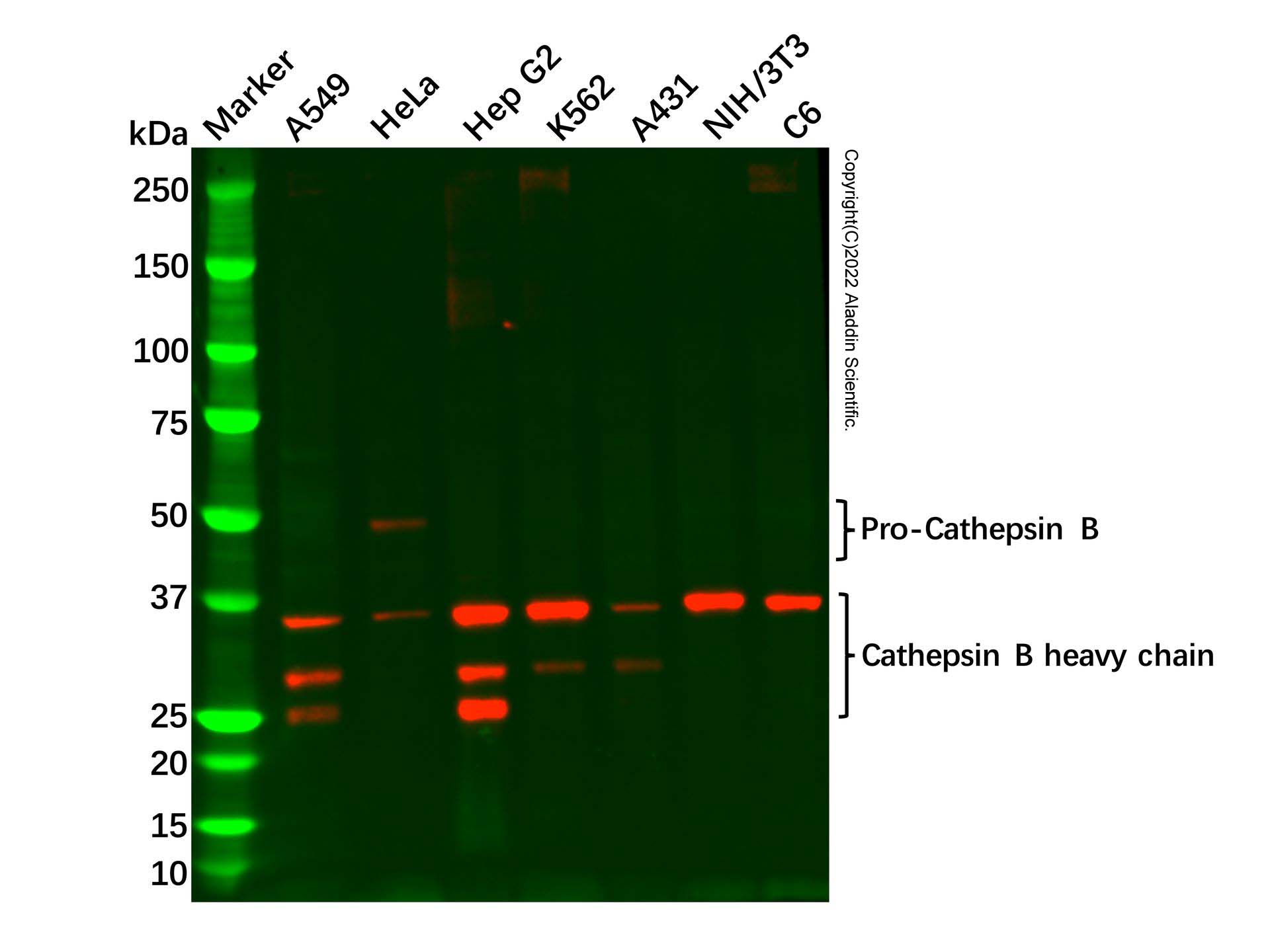
阳性对照:WB: A549, HeLa, Hep G2, K562, A431, NIH/3T3 and C6 cell lysates.
偶联:Unconjugated
产品属性
克隆类型:单克隆抗体
克隆号:D5
Format:Whole IgG
亚型:Mouse IgG1
轻链亚型:kappa
SDS-PAGE:150 kDa
纯化方法:Protein A + Protein G purified
物理外观:Liquid
储存缓冲液:10mM PBS, 50% Glycerol, 0.05% Proclin 300, pH7.4
防腐剂:0.05% Proclin 300
浓度:见COA
储存温度:-20°C储存,避免反复冻融
运输条件:超低温运输
稳定性与储存:4℃ 短期储存(1-2 周)。-20℃长期保存(24 个月)。收货后建议分装。避免冷冻/解冻循环。
功能和特点
宿主种属:小鼠(Mouse)
种属反应性:人(Human), 小鼠(Mouse), 大鼠(Rat), 猪(Pig)
克隆号:D5
偶联:Unconjugated
图片

>
Western Blot: Cathepsin B Mouse mAb (Ab093155)
Cathepsin B Mouse mAb (Ab093155) - Western Blot
All lanes: Cathepsin B Mouse mAb (Ab093155) at 1/2000 dilution
Samples: Lysates at 20 µg per lane
Secondary: Goat Anti-Mouse IgG H&L (HRP) (Ab138040) at 1/20000 dilution
Predicted band size: 37 kDa
Observed band size: 25, 28, 34, 49 kDa
Exposure time: 34.7 s
查看阿拉丁官网此产品相关对应页面:https://www.aladdin-e.com/zh_cn/Ab093155.html



关键字: 半胱氨酸蛋白酶单克隆抗体 ; 组织蛋白酶单克隆抗体 ; 组织蛋白酶B(CTSB)单克隆抗体 ; 组织蛋白酶B小鼠单克隆抗体
上海阿拉丁生化科技股份有限公司是A股上市公司((股票代码:688179),专注于科研试剂的研发、生产和销售,已陆续建立多个工厂和研发中心。作为领军企业,阿拉丁始终坚持质量第一,连续13年被评为“最受欢迎试剂品牌”。
阿拉丁目前常备库存试剂产品品种超过7万种,SKU总数超过46万,产品线涵盖了化学试剂、生化试剂、药靶配体、蛋白质和抗体等多个领域,是国内少数化学试剂到生物试剂全面发展的国产试剂品牌,产品同步发布在我们国内外电商平台。