基本信息
产品名称:Recombinant PYK2 Antibody
规格或纯度:ExactAb™, Validated, 重组, 0.2 mg/mL
应用:WB, IF/ICC, IHC
特异性:PTK2B
种属反应性:人(Human), 小鼠(Mouse), 大鼠(Rat)
免疫原:A synthetic peptide derived from human PYK2 (AA 1-19).
阳性对照:WB: Jurkat, Raji, Ramos and HeLa cell lysates. IHC: Human colon. IF/ICC: HeLa cells.
偶联:Unconjugated
产品属性
克隆类型:重组抗体
Format:Whole IgG
亚型:Rabbit IgG
轻链亚型:kappa
SDS-PAGE:150 kD
纯化方法:Protein A purified
物理外观:Liquid
储存缓冲液:10mM PBS, 150mM NaCl, 50% Glycerol, 0.05% BSA, 0.02% Sodium azide, pH 7.4
防腐剂:0.02% Sodium azide
浓度:0.2 mg/mL
储存温度:-20°C储存,避免反复冻融
运输条件:超低温运输
稳定性与储存:4°C 短期储存(1-2 周)。-20°C下长期保存(24个月)。收货后建议分装。避免冷冻/解冻循环。
功能和特点
宿主种属:兔(Rabbit)
种属反应性:人(Human), 小鼠(Mouse), 大鼠(Rat)
偶联:Unconjugated
图片

>
Western Blot: Recombinant PYK2 Antibody (Ab124023)
Recombinant PYK2 Antibody (Ab124023) - Western Blot
All lanes: Recombinant PYK2 Antibody (Ab124023) at 1/1000 dilution
Samples: Lysates at 20 µg per lane
Secondary: Goat Anti-Rabbit IgG H&L (HRP) (Ab170144) at 1/20000 dilution
Predicted band size: 116 kDa
Observed band size: 109 kDa
Exposure time: 28.2 s

>
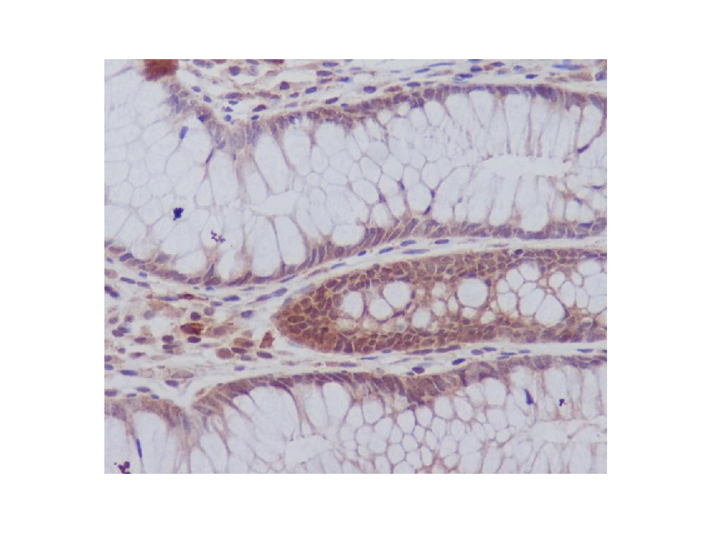
IHC: Recombinant PYK2 Antibody (Ab124023)
Recombinant PYK2 Antibody (Ab124023) - IHC
Immunohistochemistry analysis of paraffin-embedded Human colon using Recombinant PYK2 Antibody (Ab124023). High-pressure and temperature Sodium Citrate pH 6.0 was used for antigen retrieval.

>
IF/ICC: Recombinant PYK2 Antibody (Ab124023)
Recombinant PYK2 Antibody (Ab124023) - IF/ICC
IF analysis of Recombinant PYK2 Antibody (Ab124023) in HeLa cells. The cells were fixed with 4% PFA for 10 minutes, permeabilized with 0.3% Triton X-100 (I743383) for 10 minutes and then blocked with 5% BSA for 1 hour at room temperature. Cells were stained with Recombinant PYK2 Antibody (Ab124023) at 1/200 dilution in blocking buffer overnight at 4°C, and then incubated with Goat Anti-Rabbit IgG H&L (AF488) (Ab181954) at a dilution of 1/1000 for 1 hour at room temperature in the dark (green). Cells were counterstained with DAPI (D1372407) (blue).
查看阿拉丁官网此产品相关对应页面:https://www.aladdin-e.com/zh_cn/Ab124023.html



关键字: 兔单克隆抗体 to PYK2 ; 蛋白酪氨酸激酶2β(PYK2)单克隆抗体 ; PTK2B抗体 ; 重组PYK2抗体
上海阿拉丁生化科技股份有限公司是A股上市公司((股票代码:688179),专注于科研试剂的研发、生产和销售,已陆续建立多个工厂和研发中心。作为领军企业,阿拉丁始终坚持质量第一,连续13年被评为“最受欢迎试剂品牌”。
阿拉丁目前常备库存试剂产品品种超过7万种,SKU总数超过46万,产品线涵盖了化学试剂、生化试剂、药靶配体、蛋白质和抗体等多个领域,是国内少数化学试剂到生物试剂全面发展的国产试剂品牌,产品同步发布在我们国内外电商平台。