Hi!欢迎来到ChemicalBook
登录
注册
热线电话:010-86108875
行业精选
我的ChemicalBook
发布产品
产品管理
发布供应信息
黄金产品设置
大货产品设置
直通车产品设置
∨
发布供应信息
产品
求购信息
供应信息
化工站点
结构式搜索
采购清单
网站主页
DNAJB11 ANTIBODY
DNAJB11抗体;DNAJB11 antibody
DNAJB11抗体;DNAJB11 antibody 艾普蒂生物
价格
¥
1280
¥
2180
包装
50ul
100ul
最小起订量
50ul
发货地
湖北
更新日期
2025-06-04
QQ交谈
微信洽谈
产品详情
中文名称:
DNAJB11抗体;DNAJB11 antibody
英文名称:
DNAJB11 antibody
品牌:
艾普蒂生物
产地:
湖北武汉
保存条件:
-20℃
纯度规格:
99%
产品类别:
抗体
货号:
IPD-ANP9922
用途:
仅用于科研使用
规格:
50ul/100ul
保质期:
1年
外观性状:
液体
2025-06-04
DNAJB11抗体;DNAJB11 antibody
DNAJB11 antibody
50ul/1280RMB;100ul/2180RMB
1280
艾普蒂生物
湖北武汉
-20℃
99%
抗体
Specification
Aliases
DJ9; EDJ; Dj-9; ERj3; PKD6; ABBP2; ERdj3; ERj3p; ABBP-2; UNQ537; PRO1080
Swissprot
Q9UBS4
WB Predicted band size
40 kDa
Host/Isotype
Rabbit IgG
Storage
Store at 4°C short term. Aliquot and store at -20°C long term. Avoid freeze/thaw cycles.
Species Reactivity
Human, Mouse, Rat
Immunogen
Fusion protein of human DNAJB11
Formulation
pH7.4 PBS, 0.05% NaN3, 40% Glycerol
Application
WB
1/1000-1/5000
IHC
1/200-1/400
ELISA
1/5000-1/10000
Product Image
Gel: 8%SDS-PAGE, Lysate: 40 μg, Lane 1-4: Hela, HT-29, K562 and NIH/3T3 cell lysates, Primary antibody: (DNAJB11 Antibody) at dilution 1/1000, Secondary antibody: Goat anti rabbit IgG at 1/5000 dilution, Exposure time: 15 seconds
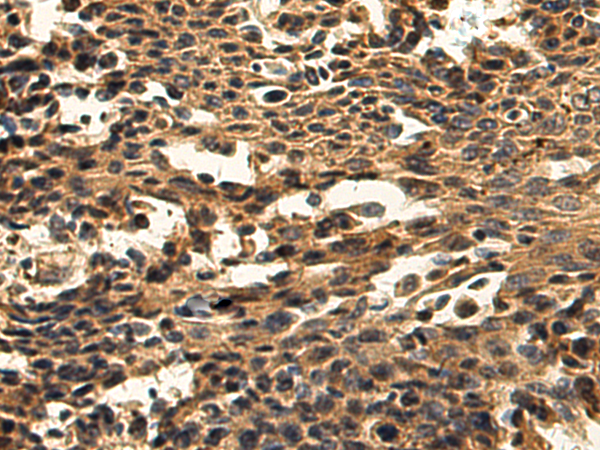
The image is immunohistochemistry of paraffin-embedded Human ovarian cancer tissue using (DNAJB11 Antibody) at dilution 1/220. (Original magnification: ×200)
The image is immunohistochemistry of paraffin-embedded Human lung cancer tissue using (DNAJB11 Antibody) at dilution 1/220. (Original magnification: ×200)
关键字:
DNAJB11;DNAJB11抗体;DNAJB11 antibody ;
公司简介
湖北艾普蒂生物工程有限公司(简称:艾普蒂)由在国内科研试剂领域有着十几年从业经验的专业技术团队和企业管理团队组建而成,专门从事以抗体、蛋白、细胞、化学品为核心的试剂产品研发与销售。 我们长期聚焦于生命科学、生物医药、医疗诊断、分析检测等领域,专注于为生命科学和生物技术领域的客户提供优质的产品和技术服务。提供生命科学 试剂、供应链服务等,为更多的生命科学科研工作者提供 专业、全面、安全、快捷的产品和服务。产品覆盖 基因、蛋白、细胞、组织、动物等水平的各种研究。 致力于成长为我国重要的生命科学试剂和成果转化一体化的领导者、致力于成为中国大型的科研试剂产品供应商之一。
成立日期
2021-01-08
(6年)
注册资本
600万(元)
员工人数
1-10人
年营业额
¥ 300万-500万
主营行业
中间体,化学试剂,医药原料
经营模式
工厂,服务
湖北艾普蒂生物工程有限公司
普通会员
公司成立:
6年
注册资本:
600万(元)
企业类型:
有限责任公司(自然人投资或控股)
主营产品:
抗体、蛋白、细胞、化学品为核心的试剂产品研发与销售
公司地址:
武汉东湖新技术开发区高新二路37号鼎泰关南大厦第4、5层
进入店铺
询盘
店内推荐
UHMK1抗体;UHMK1 antibody
¥1280
NIT1抗体;NIT1 antibody
¥1280
DAPK1抗体;DAPK1 antibody
¥1280
DNAJB11抗体;DNAJB11 antibody 艾普蒂生物相关厂家报价
产品名称
价格
公司名称
报价日期
Recombinant Human DNAJB11 Protein
¥1950
VIP
4年
上海沪震实业有限公司
2026-02-09
DNAJB11蛋白,DNAJB11 Protein
¥1800
南京安研生物科技有限公司
2024-05-27
Absolute Antibody重组抗体
询价
VIP
4年
维百奥(北京)生物科技有限公司
2025-12-29
DNAJB11抗体—艾普蒂
询价
VIP
1年
上海切尔齐生物科技有限公司
2025-05-19
内容声明:
以上所展示的信息由商家自行提供,内容的真实性、准确性和合法性由发布商家负责。 商家发布价格指该商品的参考价格,并非原价,该价格可能随着市场变化,或是由于您购买数量不同或所选规格不同而发生变化。最终成交价格,请咨询商家,以实际成交价格为准。请意识到互联网交易中的风险是客观存在的
主页
|
企业会员服务
|
广告业务
|
联系我们
|
旧版入口
|
中文MSDS
|
CAS Index
|
常用化学品CAS列表
|
化工产品目录
|
新产品列表
|
投诉中心
Copyright © 2008 ChemicalBook
京ICP备07040585号
京公海网安备110108000080号 All rights reserved.
互联网增值电信业务经营许可证:京ICP证150597号
| (京)网药械信息备字(2025)第00155号 |
信息系统安全等级保护备案证明(三级)
|
营业执照公示
本网站展示的所有产品仅用于工业应用或者科学研究等非医疗目的,不可用于人类或动物的临床诊断或者治疗,非药用,非食用。
根据相关法律法规和本站规定,单位或个人购买相关危险物品应取得有效的资质、资格条件。
参考
《应急管理部等多部门关于加强互联网销售危险化学品安全管理的通知 (应急〔2022〕119号)》
和
《互联网危险物品信息发布管理规定》
湖北艾普蒂生物工程有限公司
联系人:
钟***
电话:
180***
手机:
193***
邮箱:
270***
联系商家时请提及chemicalbook,有助于交易顺利完成!
艾普蒂