产品概述
从细胞或组织中提取到完整的蛋白质样品是影响免疫印迹分析(Western blotting,WB)得到真实可靠结果的关键因素之一。本产品是专为获取完整蛋白质样本而设计的革命性解决方案,突破传统RIPA裂解液及超声破碎的技术局限,可以快速完整的提取细胞和组织中蛋白质,并有效保护蛋白质的化学修饰,尤其适用于大分子蛋白及翻译后修饰蛋白的提取,为Western blot等蛋白质分析实验提供优质样本保障。
产品组分
规格 | 组分A | 组分B |
RC0005-S | 40 uL | 20 mL |
RC0005-M | 100 uL | 50 mL |
RC0005-L | 200 uL | 100 mL |
产品特性
1. 完整抽提大分子蛋白质。
2. 保护蛋白质翻译后修饰(如磷酸化、糖基化、泛素化、甲基化和乙酰化)。
3. 一步到位,无需添加酶抑制剂。
4. 兼容细胞与组织样本。
验证数据
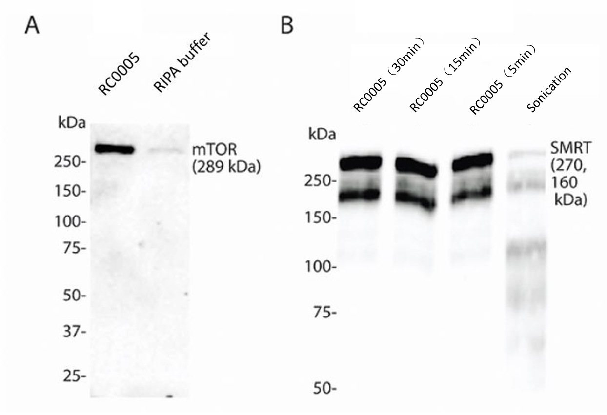
大分子蛋白提取对比实验

图A:分别使用RC0005裂解液和RIPA buffer裂解HeLa细胞,并使用mTOR(289 kDa)抗体进行蛋白免疫印迹,裂解物上样量为50ug,结果显示RC0005处理后的大分子蛋白丰度更高。
图B:分别使用RC0005裂解液(分别裂解30min、15min、5min)和超声方案对HT1080细胞进行裂解,并用SMRT抗体(270,160 kDa)进行蛋白免疫印迹,裂解物上样量为50ug,结果显示超声处理将SMRT破坏为多个小片段蛋白,RC0005在不同的处理时间下,都保留了蛋白的完整性。
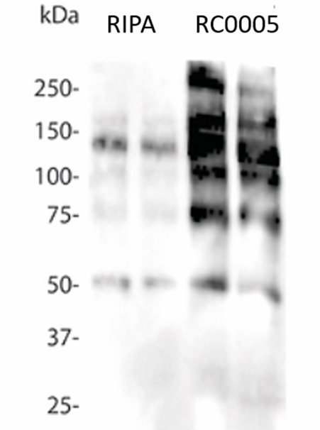
蛋白质翻译后修饰对比实验

分别使用RC0005和RIPA对Hela细胞进行裂解,用O-GlcNAc(糖基化)抗体对细胞裂解物进行蛋白免疫印迹(平行组),裂解物上样量为50ug,结果显示RC0005处理的样本糖基化修饰的蛋白丰度存在明显优势。
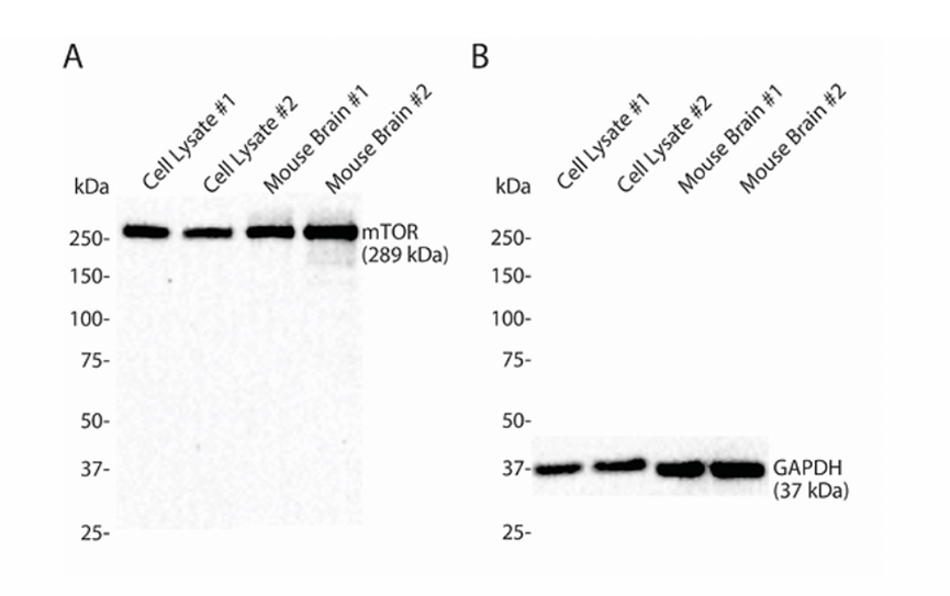
样本兼容性实验

图A:使用RC0005裂解 HeLa 细胞和小鼠大脑组织(各2组样本),用mTOR (289 kDa)抗体对裂解物进行免疫印迹,裂解物上样量为50ug。
图B:使用RC0005裂解 HeLa 细胞和小鼠大脑组织(各2组样本),用GAPDH(37kDa)抗体对裂解物进行免疫印迹,裂解物上样量为50ug。
数据显示RC0005对细胞样本和组织样本均有优秀的裂解效果,同时兼容不同大小的蛋白样本。
产品储存
试剂 A 存放于-20℃冷冻条件,试剂 B 存放于室温或 4℃冷藏条件。
注:若试剂 B 在 4℃下长时间保存,可能会出现沉淀,这不影响产品质量。当移至室温下,沉淀会重新溶解。
产品应用
大分子蛋白的提取;修饰性蛋白(糖基化、磷酸化、泛素化等)的提取;免疫印迹分析
关键字: 大分子蛋白专用细胞/组织裂解液;WesternBlot ;WB;快速裂解液;蛋白免疫印迹;
武汉恩玑生命科技有限公司(EnkiLife)是一家深耕生命科学,专注细胞生物学和免疫学科研试剂的研发、生产与销售的生物技术企业,在全球100多个国家和地区开展业务,致力于为科研工作者提供高质量的产品和卓越的客户服务,推动生命科学的发展。
EnkiLife的产品线涵盖细胞系、原代细胞、细胞培养基、血清、细胞检测试剂盒、重组靶点蛋白、细胞因子、重组抗体、ELISA试剂盒、生化试剂盒等,并提供技术服务与定制开发,覆盖了生命科学研究的各大关键领域,包括细胞生物学、癌症、免疫学、神经科学、心血管疾病、干细胞、表观遗传学、内分泌、蛋白质组学、代谢组学等,全方位满足您的实验需求,让您享受科研的乐趣!
公司现已建立四大技术平台:
EnCyto?细胞培养及检测平台:拥有细胞系库(500+)、原代细胞库(500+)、基础培养基和完全培养基(1200+)
EnkiPro?重组蛋白平台:现货产品2000+,可提供定制化表达服务
EnAb?重组抗体平台:重组兔单抗(3000+),可提供定制化和标记服务
EnKits?试剂盒开发平台:可提供优质的ELISA试剂盒、配套试剂、抗体对、生化试剂盒等相关产品
EnkiLife在生产管理方面引入ISO9001质量管理体系和信息化、自动化的管理工具,拥有高效稳定的交付能力,与全球知名品牌建立了紧密的合作。
EnkiLife始终坚持以技术创新为驱动,以匠心铸就品质,以品质服务客户。
我们期待与更多的全球科研工作者和企业携手合作,共同推动生命科学领域的进步与发展。