暂无可领优惠券
主营产品:抗体,细胞,生物试剂等
客服热线:021-34661275 15301693058
4YR企业会员
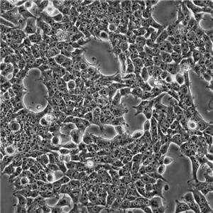
人胰腺癌相关成纤维细胞永生化
¥2800元
更新时间:2025/11/30
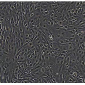
293T人胚肾细胞
¥1800元
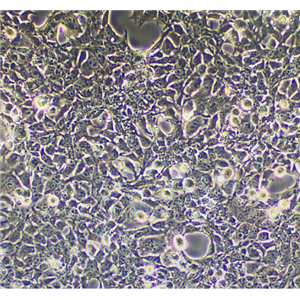
293人胚肾细胞
小鼠胰腺癌细胞/胰腺导管癌PAN02
¥2500元
小鼠胰腺癌细胞LTPA
¥1500元
小鼠胰岛素瘤胰岛Beta细胞BetaTC6
小鼠胰岛内皮细胞MS1
小鼠心肌细胞HL1
小鼠小胶质细胞BV2
小鼠小肠内分泌细胞STC1
¥5000元
小鼠视网膜神经节细胞RGC5
小鼠肾足细胞MPC5
小鼠肾脏内髓集合管3上皮细胞IMCD3
小鼠肾小球系膜细胞SV40MES13
小鼠神经干细胞C17.2
人喉鳞状细胞癌SNU1076
¥8500元
商家暂时不对外公布