基本信息
产品名称:Recombinant G3BP Antibody
规格或纯度:ExactAb™, Validated, 重组, 0.3 mg/mL
应用:WB, IF/ICC, IHC
特异性:G3BP
应用:WB,IF,ICC,IHC
种属反应性:人(Human), 小鼠(Mouse), 大鼠(Rat)
免疫原:A synthetic peptide derived from human G3BP (AA 419-432).
阳性对照:WB: K431, HEK293, C6, NIH/3T3, K562, A549, HeLa lysates. IHC: Human colon cancer tissue. ICC/IF: HeLa cells.
偶联:Unconjugated
产品属性
抗体类型:Primary antibody
克隆类型:重组抗体
Format:Whole IgG
亚型:Rabbit IgG
SDS-PAGE:150 kDa
纯化方法:Antigen affinity purified
来源:Cell supernatant
物理外观:Liquid
储存缓冲液:50mM Tris-Glycine, 150mM NaCl, 40% Glycerol, 0.05% BSA, 0.01% Sodium azide, pH 7.4
防腐剂:0.01% Sodium azide
浓度:0.3 mg/mL
储存温度:-20°C储存,避免反复冻融
运输条件:超低温运输
稳定性与储存:4°C 短期储存(1-2 周)。-20°C下长期保存(24个月)。收货后建议分装。避免冷冻/解冻循环。
功能和特点
宿主种属:兔(Rabbit)
种属反应性:人(Human), 小鼠(Mouse), 大鼠(Rat)
偶联:Unconjugated
图片

>
Western Blot: Recombinant G3BP Antibody (Ab104334)
Recombinant G3BP Antibody (Ab104334) - Western Blot
All lanes: Recombinant G3BP Antibody (Ab104334) at 1/1000 dilution
Samples: Lysates at 20 µg per lane
Secondary: Goat Anti-Rabbit IgG H&L (HRP) (Ab170144) at 1/20000 dilution
Predicted band size: 68 kDa
Observed band size: 64 kDa

>
ICC/IF: Recombinant G3BP Antibody (Ab104334)
Recombinant G3BP Antibody (Ab104334) - ICC/IF
IF analysis of G3BP (green) in Hela using G3BP antibody (Ab104334), and cells were counterstained with DAPI (blue).

>
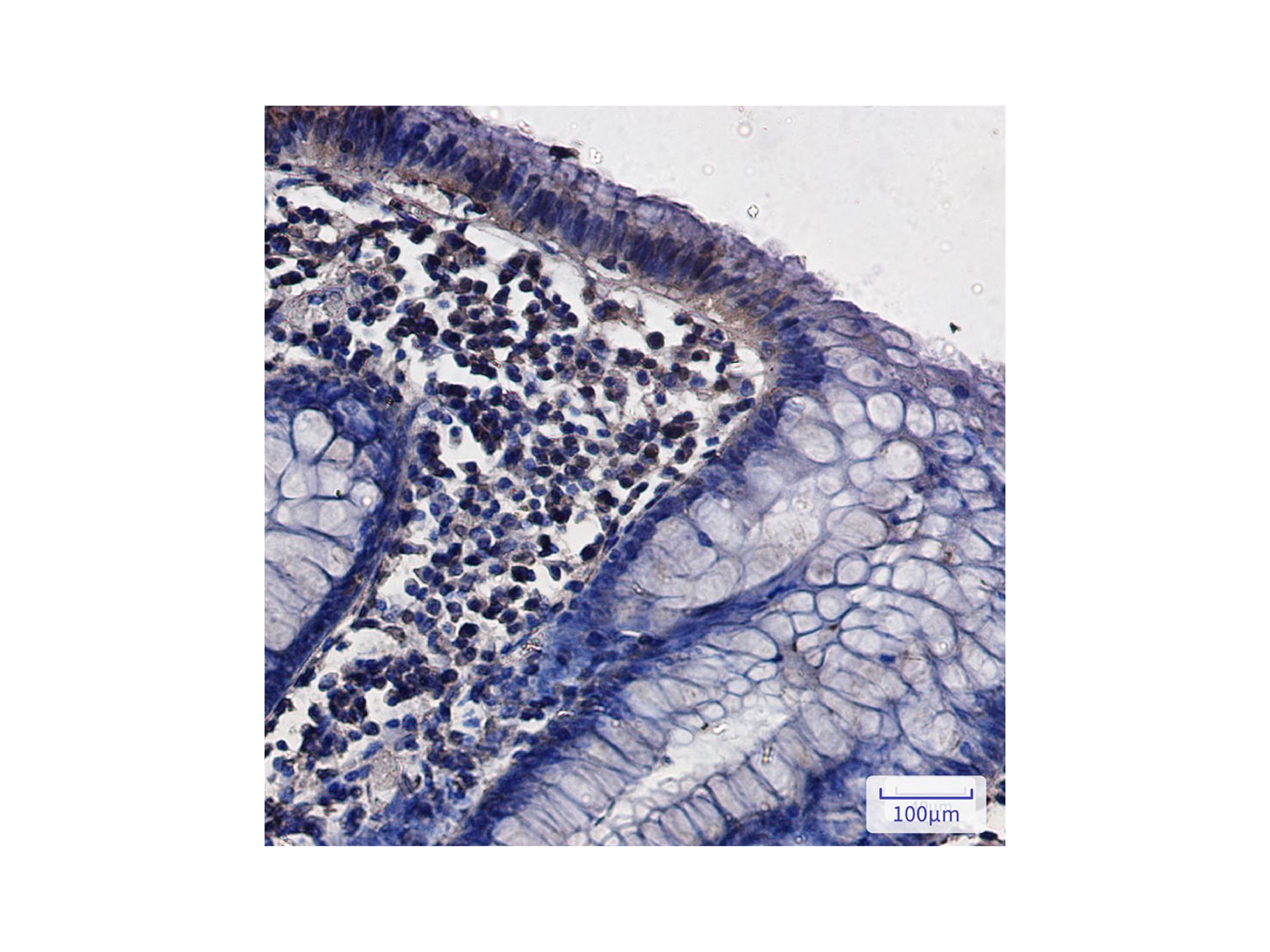
IHC: Recombinant G3BP Antibody (Ab104334)
Recombinant G3BP Antibody (Ab104334) - IHC
Immunohistochemistry analysis of paraffin-embedded Human colon cancer using G3BP antibody (Ab104334) . High-pressure and temperature Sodium Citrate pH 6.0 was used for antigen retrieval.
查看阿拉丁官网此产品相关对应页面:https://www.aladdin-e.com/zh_cn/Ab104334.html



关键字: Ras GTP酶活化蛋白结合蛋白1抗体 ; Anti-G3BP抗体 ; G3BP1抗体 ; 重组Anti-G3BP抗体
上海阿拉丁生化科技股份有限公司是A股上市公司((股票代码:688179),专注于科研试剂的研发、生产和销售,已陆续建立多个工厂和研发中心。作为领军企业,阿拉丁始终坚持质量第一,连续13年被评为“最受欢迎试剂品牌”。
阿拉丁目前常备库存试剂产品品种超过7万种,SKU总数超过46万,产品线涵盖了化学试剂、生化试剂、药靶配体、蛋白质和抗体等多个领域,是国内少数化学试剂到生物试剂全面发展的国产试剂品牌,产品同步发布在我们国内外电商平台。