基本信息
产品名称:Recombinant FXR1 Antibody
规格或纯度:ExactAb™, Validated, 重组, 0.7 mg/mL
应用:WB, IF/ICC, IHC
特异性:FXR1
应用:WB,IF,ICC,IHC
种属反应性:人(Human), 小鼠(Mouse), 大鼠(Rat)
免疫原:A synthetic peptide derived from human FXR1 (AA 42-56).
阳性对照:WB: HeLa,MCF7,HEK293,A549 lysates. IHC: Human lung cancer tissue. ICC/IF: HeLa cells.
偶联:Unconjugated
产品属性
抗体类型:Primary antibody
克隆类型:重组抗体
Format:Whole IgG
亚型:Rabbit IgG
SDS-PAGE:150 kDa
纯化方法:Antigen Affinity Purified
来源:Cell supernatant
物理外观:Liquid
储存缓冲液:50mM Tris-Glycine, 150mM NaCl, 40% Glycerol, 0.05% BSA, 0.01% Sodium azide, pH 7.4
防腐剂:0.01% Sodium azide
浓度:0.7 mg/mL
储存温度:-20°C储存,避免反复冻融
运输条件:超低温运输
稳定性与储存:4°C 短期储存(1-2 周)。-20°C下长期保存(24个月)。收货后建议分装。避免冷冻/解冻循环。
功能和特点
宿主种属:兔(Rabbit)
种属反应性:人(Human), 小鼠(Mouse), 大鼠(Rat)
偶联:Unconjugated
图片

>
Western Blot: Recombinant FXR1 Antibody (Ab104281)
Recombinant FXR1 Antibody (Ab104281) - Western Blot
All lanes: Recombinant FXR1 Antibody (Ab104281) at 1/1000 dilution
Samples: Lysates at 20 µg per lane
Secondary: Goat Anti-Rabbit IgG H&L (HRP) (Ab170144) at 1/20000 dilution
Predicted band size: 70 kDa
Observed band size: 70-80 kDa

>
IF: Recombinant FXR1 Antibody (Ab104281)
Recombinant FXR1 Antibody (Ab104281) - IF
IF analysis of HeLa cells labeling FXR1 with purified Recombinant FXR1 Antibody (Ab104281) at 1/1000 dilution. The cells were fixed and permeabilized with 100% methanol for 5 minutes, and blocked with 2% BSA for 1 hour at room temperature. Cells were counterstained with beta Tubulin Mouse mAb (Ab155823) at 1/2000 dilution - Goat Anti-Mouse IgG H&L (AF488) 1/1000. Donkey Anti-Rabbit IgG H&L (AF647) (Ab136882) was used as the secondary antibody at 1/1000 dilution. DAPI was used as nuclear counterstain. PBS instead of the primary antibody was used as the secondary antibody only control. Images were taken on the confocal laser scanning microscope.

>
IF: Recombinant FXR1 Antibody (Ab104281)
Recombinant FXR1 Antibody (Ab104281) - IF
IF analysis of FXR1 (green) in HeLa cells using Recombinant FXR1 Antibody (Ab104281) and cells were counterstained with DAPI (blue).

>
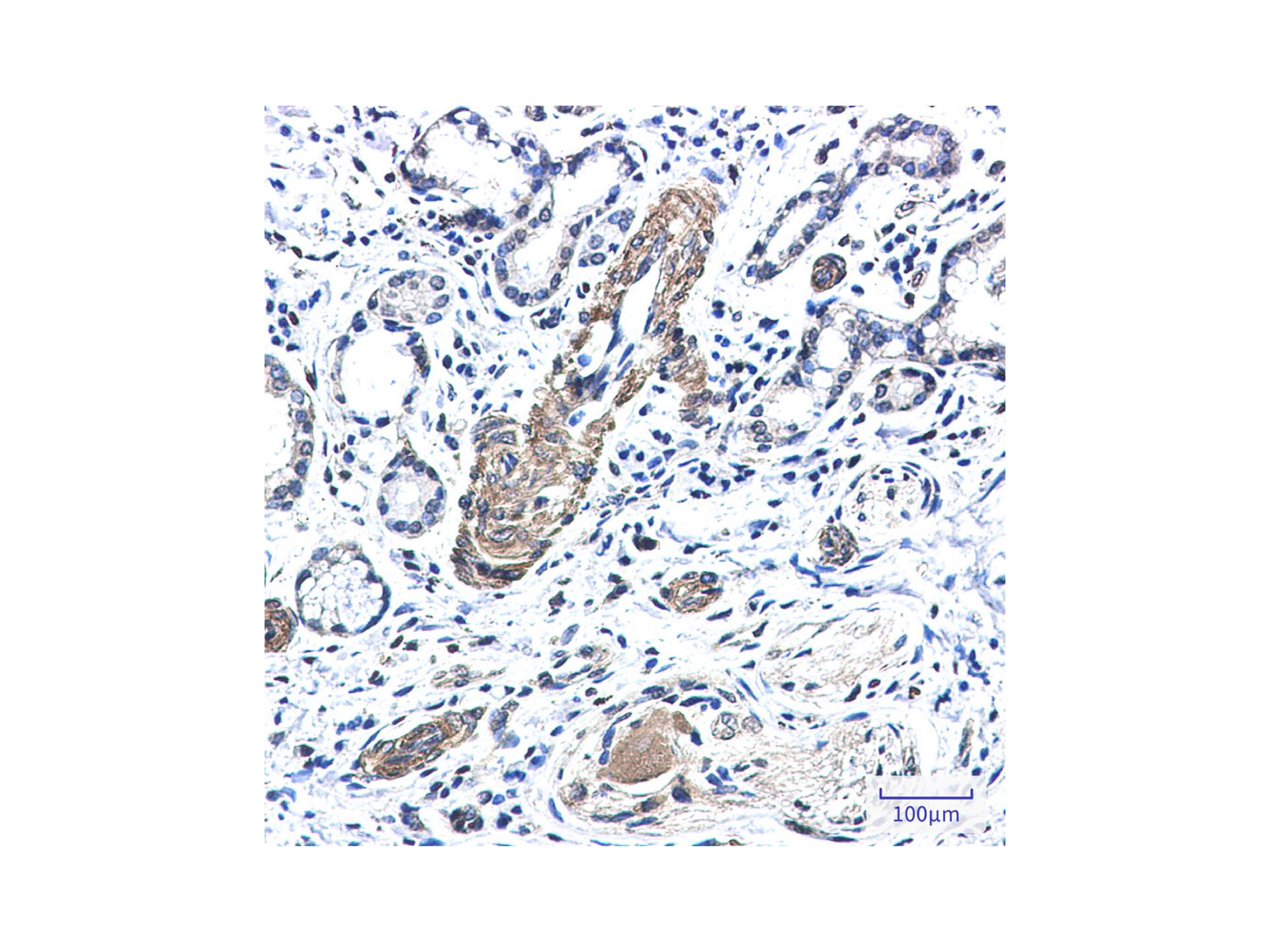
IHC: Recombinant FXR1 Antibody (Ab104281)
Recombinant FXR1 Antibody (Ab104281) - IHC
Immunohistochemistry analysis of paraffin-embedded Human lung cancer using Recombinant FXR1 Antibody (Ab104281). High-pressure and temperature Sodium Citrate pH 6.0 was used for antigen retrieval.
查看阿拉丁官网此产品相关对应页面:https://www.aladdin-e.com/zh_cn/Ab104281.html



关键字: 脆性X相关蛋白1/脆性X智力低下综合征相关蛋白1抗体 ; 重组 FXR1 抗体;Fragile X mental retardation autosomal homolog 1 antibody ; Fragile X mental retardation syndrome related protein 1 antibody
上海阿拉丁生化科技股份有限公司是A股上市公司((股票代码:688179),专注于科研试剂的研发、生产和销售,已陆续建立多个工厂和研发中心。作为领军企业,阿拉丁始终坚持质量第一,连续13年被评为“最受欢迎试剂品牌”。
阿拉丁目前常备库存试剂产品品种超过7万种,SKU总数超过46万,产品线涵盖了化学试剂、生化试剂、药靶配体、蛋白质和抗体等多个领域,是国内少数化学试剂到生物试剂全面发展的国产试剂品牌,产品同步发布在我们国内外电商平台。