神经元核抗原抗体
神经元核抗原抗体 性质
| 生物来源 | guinea pig |
|---|
Rabbit monoclonal to NeuNRabbitMouse, Rat, HumanRecombinant full length protein within Human NeuN aa 1 to the C-terminus.WB, IHC-P, IHC-Fr, IP
NeuN (D4G4O) XP® Rabbit mAb #24307---CST
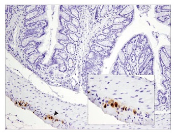
使用 NeuN (D4G4O) XP® Rabbit mAb 对石蜡包埋的小鼠结肠(肠肌丛)细胞进行免疫组织化学分析。
神经元细胞核 (NeuN, Fox-3, RBFOX3) 是一种在多数中枢和周围神经系统的有丝分裂后神经元中表达的胞核蛋白。NeuN 在浦肯野细胞、交感神经节细胞、Cajal-Retzius 细胞、INL 视网膜细胞、下橄榄核或齿胞核神经元中均未检测到。这种神经元蛋白最初使用一种称为 NeuN 的单克隆抗体通过免疫细胞化学反应被鉴定。通过 MS 分析,NeuN 被鉴定为 Fox-3 基因产物。Fox-3 包含一个 RNA 识别基序,并作为一种剪切调节分子发挥作用。Fox-3 调节 NumB 的选择性剪切,进而促进发育过程中的神经元分化。
神经元核抗原抗体是以神经元核为抗原多克隆抗体,可以特异性结合神经元核。神经元核抗原抗体主要用于ICC/IF,Dotblot,ELISA,IHC-P,IHC-Fr,Immunomicroscopy,WB等神经元核检测实验。安全信息
| WGK Germany | WGK 1 |
|---|---|
| 存储类别 | 10 - 可燃性液体 |